< case.5 >
マウスピース矯正の症例ortho case

矯正検査・マウスピース矯正
(インビザライン)・ワイヤー矯正・保定装置

矯正検査・マウスピース矯正(インビザライン)・保定装置

◆ 治療症例の内容

【 治療カテゴリー 】

▶︎矯正歯科
▶︎成人矯正(表側矯正)

【 担当医 】

▶︎東 ゆりあ(ドクタープロフィール)
主訴かみ合わせが深く下の前歯が見えないのが気になる
患者20代女性
治療期間16ヶ月
治療費1,078,000円(税込)
※料金は当時のものになります。
治療計画かみ合わせが深く下の前歯が見えないとのことで来院。抜歯を行わず遠心移動を中心に拡大とディスキングを併用しインビザラインで治療を行いました。

▼画像をクリックすると拡大表示されます。
▼拡大画像の左右をクリックするとスライドします。

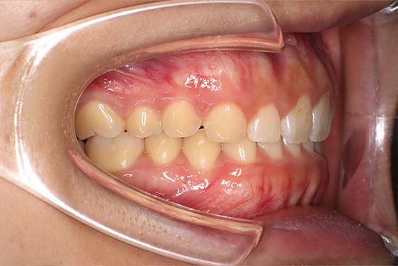
治療前
治療途中
終了時
Before
術前
After
術後

左上に乳歯が残っていましたが歯根も長く、長期に保存することが可能と考え、ご本人と相談の上で抜歯は行わず、前歯部圧下を行い過蓋咬合の改善を図りました。アライナーの装着時間を可能な限り長く、かつアライナーチューイも適切に使用していただけたため良好な結果が得られました。

マウスピース矯正の注意事項
(リスク・副作用など)

  • 口腔内・歯並びの状態によっては対応できない場合があります。
  • マウスピース型矯正装置の長時間装着(1日20時間以上)が必須です。
  • 治療計画通りに進めるためには、患者様の意志が重要になります。
  • 矯正治療後の保定が不十分だと後戻り(元の位置に戻ろうとする動き)をします。
  • 薬機法対象外の矯正歯科装置のため医薬品副作用被害救済制度の対象外となる場合があります。
  • 自費診療(保険適用外)となります。
相談・治療の予約をする >