< case.4 >
マウスピース矯正の症例ortho case

矯正検査・マウスピース矯正
(インビザライン)・ワイヤー矯正・保定装置

矯正検査・マウスピース矯正(インビザライン)・保定装置

◆ 治療症例の内容

【 治療カテゴリー 】

▶︎矯正歯科
▶︎成人矯正(表側矯正)

【 担当医 】

▶︎東 ゆりあ(ドクタープロフィール)
主訴前歯のがたつきが気になる
患者20代女性
治療期間18ヶ月
治療費1,078,000円(税込)
※料金は当時のものになります。
治療計画前歯のがたつきが気になるということで来院されました。抜歯を行わず拡大とディスキングを中心にインビザラインで治療を行いました。
微調整に一部ワイヤー矯正を併用しています。

▼画像をクリックすると拡大表示されます。
▼拡大画像の左右をクリックするとスライドします。

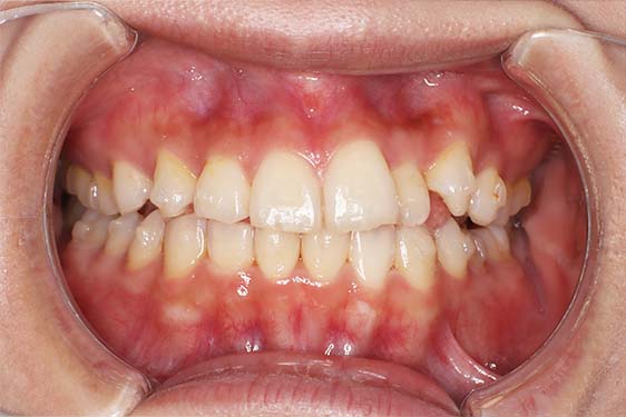
治療前
治療途中
終了時
Before
術前
After
術後

ご本人の希望もありインビザラインでの矯正治療を行いました。前歯部の捻転(歯軸のねじれ)解消にワイヤー矯正を併用したため、想定していたよりも早期に治療を完了することができました。

マウスピース矯正の注意事項
(リスク・副作用など)

  • 口腔内・歯並びの状態によっては対応できない場合があります。
  • マウスピース型矯正装置の長時間装着(1日20時間以上)が必須です。
  • 治療計画通りに進めるためには、患者様の意志が重要になります。
  • 矯正治療後の保定が不十分だと後戻り(元の位置に戻ろうとする動き)をします。
  • 薬機法対象外の矯正歯科装置のため医薬品副作用被害救済制度の対象外となる場合があります。
  • 自費診療(保険適用外)となります。

ワイヤー矯正の注意事項
(リスク・副作用など)

  • 治療中は違和感や痛みが起こることがあります。
  • 症状により、抜歯が必要な場合があります。
  • 治療中は歯磨きがしにくくなるため、虫歯や歯周病になりやすくなります。
  • 矯正治療後の保定が不十分だと後戻り(元の位置に戻ろうとする動き)をします。
  • 自費診療(保険適用外)となります。
相談・治療の予約をする >