< case.5 >
マルチブラケット矯正の症例ortho case

矯正検査・マルチブラケット矯正
(表側矯正)・保定装置

矯正検査・マウスピース矯正(インビザライン)・保定装置

◆ 治療症例の内容

【 治療カテゴリー 】

▶︎矯正歯科
▶︎成人矯正(ワイヤー矯正)

【 担当医 】

▶︎東 ゆりあ(ドクタープロフィール)
主訴出っ歯と前歯のがたつきが気になる
患者30代男性
治療期間20ヶ月
治療費1,012,000円(税込)
※料金は当時のものになります。
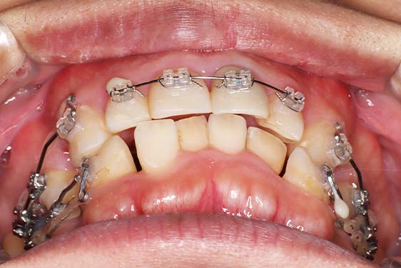
治療計画出っ歯と前歯のがたつきが気になるということで来院されました。上下両側第一小臼歯を抜歯しマルチブラケット装置で治療を行いました。

▼画像をクリックすると拡大表示されます。
▼拡大画像の左右をクリックするとスライドします。

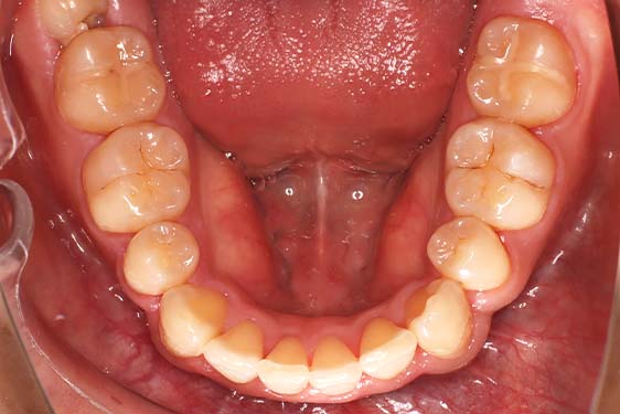
治療前
治療途中
終了時
Before
術前
After
術後

もともと左上の前歯がでていて、根管治療を機に被せもので並びを整えたとのことで、前歯部の形が不揃いで歯冠と歯根の軸がズレていることから前歯部の配列に苦慮しました。

ワイヤー矯正の注意事項
(リスク・副作用など)

  • 治療中は違和感や痛みが起こることがあります。
  • 症状により、抜歯が必要な場合があります。
  • 治療中は歯磨きがしにくくなるため、虫歯や歯周病になりやすくなります。
  • 矯正治療後の保定が不十分だと後戻り(元の位置に戻ろうとする動き)をします。
  • 自費診療(保険適用外)となります。
相談・治療の予約をする >