銀歯が古くなり虫歯ができていたため、保険診療内のプラスチックの詰め物や被せ物で治療を行った。


| 主訴 | 奥歯がしみる |
|---|---|
| 治療期間 | 2ヶ月 |
| 治療費 | 保険診療 |
| 治療のリスク | プラスチックの詰め物や被せものは歯ぎしりなどで 割れたり外れることもあります。 |
「歯に穴が空いて食事の時に痛む」という主訴でご来院されました。他院で治療を受けた箇所であり虫歯が非常に深く、通常であれば神経を全て抜く「抜髄(ばつずい)」が必要な状態でした。今回は若年者ということもあり将来的なことを鑑み神経の一部を温存する「部分的断髄法(VPT)」を提案しました。高い殺菌性と封鎖性、そして組織の再生を促す効果を持つMTAセメントを使用して神経を保護し、歯質削除量を最小限とするためコンポジットレジン修復とし、最終的には強度と審美性に優れたセラミックで再修復する計画を立案しました。






| 主訴 | 歯に穴が空いて食事の時に痛む |
|---|---|
| 患者 | 10代男性 |
| 治療期間 | 2ヶ月 |
| 治療費 | 11万円(税込・料金は当時のものになります) |
| 治療のリスク | プラスチックの詰め物や被せものは歯ぎしりなどで 割れたり外れることもあります。 |
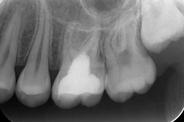
3年前に他院で虫歯を残した状態でドックベストセメント治療を受けられ、その後虫歯が進行してしまいました。
ラバーダム防湿を行い、無菌的な環境下で虫歯を慎重に除去。神経の露出を確認した後、炎症を起こしている一部の神経のみを除去し、残りの健全な神経を保護するためにMTAセメントを充填しました。これにより、神経の機能を維持し、歯を内部から守ることが可能となりました。
VPT直後は歯質削除量を最小限とするためコンポジットレジン修復としましたが、今後は一定期間の経過観察で痛みや炎症がないことを確認し、最終的な被せ物(または詰め物)にはセラミックを使用する予定です。高い適合性により、二次的な虫歯のリスクを抑えつつ、天然歯のような自然な咬み心地と美しさを再現できます。